The Fort Worth Press - Médicos australianos hallan por primera vez una lombriz parásita en el cerebro de una mujer

USD -
AED 3.672499
AFN 65.000072
ALL 81.600054
AMD 377.015652
ANG 1.79008
AOA 916.999718
ARS 1445.012302
AUD 1.424349
AWG 1.8025
AZN 1.699016
BAM 1.652954
BBD 2.006406
BDT 121.744569
BGN 1.67937
BHD 0.377037
BIF 2951.80061
BMD 1
BND 1.266301
BOB 6.883642
BRL 5.237897
BSD 0.996188
BTN 90.006001
BWP 13.760026
BYN 2.854269
BYR 19600
BZD 2.003533
CAD 1.36639
CDF 2200.000413
CHF 0.776435
CLF 0.021734
CLP 858.140033
CNY 6.938203
CNH 6.939565
COP 3629.58
CRC 494.755791
CUC 1
CUP 26.5
CVE 93.18904
CZK 20.62225
DJF 177.398771
DKK 6.322301
DOP 62.727665
DZD 129.897011
EGP 46.939934
ERN 15
ETB 154.525739
EUR 0.84665
FJD 2.200801
FKP 0.729917
GBP 0.72957
GEL 2.694949
GGP 0.729917
GHS 10.913255
GIP 0.729917
GMD 73.000151
GNF 8739.784147
GTQ 7.640884
GYD 208.410804
HKD 7.812065
HNL 26.319926
HRK 6.379101
HTG 130.669957
HUF 322.320154
IDR 16799.45
ILS 3.085695
IMP 0.729917
INR 90.446496
IQD 1305.009254
IRR 42125.000158
ISK 122.759735
JEP 0.729917
JMD 156.11768
JOD 0.709059
JPY 156.801011
KES 128.949633
KGS 87.450259
KHR 4019.573871
KMF 417.999729
KPW 899.945137
KRW 1456.804971
KWD 0.30742
KYD 0.830199
KZT 499.446421
LAK 21428.148849
LBP 89209.607762
LKR 308.347631
LRD 185.292552
LSL 15.956086
LTL 2.95274
LVL 0.60489
LYD 6.298121
MAD 9.137876
MDL 16.870209
MGA 4415.108054
MKD 52.183079
MMK 2099.936125
MNT 3569.846682
MOP 8.016683
MRU 39.768089
MUR 45.879772
MVR 15.45009
MWK 1727.419478
MXN 17.269205
MYR 3.931996
MZN 63.750101
NAD 15.956086
NGN 1379.590392
NIO 36.662976
NOK 9.64985
NPR 144.009939
NZD 1.661085
OMR 0.384488
PAB 0.996163
PEN 3.353659
PGK 4.26805
PHP 58.996032
PKR 278.611912
PLN 3.57692
PYG 6609.139544
QAR 3.622342
RON 4.313702
RSD 99.398038
RUB 76.703228
RWF 1453.926184
SAR 3.750116
SBD 8.058101
SCR 13.590449
SDG 601.49594
SEK 8.95008
SGD 1.27203
SHP 0.750259
SLE 24.474981
SLL 20969.499267
SOS 568.369098
SRD 38.114502
STD 20697.981008
STN 20.706383
SVC 8.716965
SYP 11059.574895
SZL 15.961664
THB 31.611496
TJS 9.309427
TMT 3.51
TND 2.88065
TOP 2.40776
TRY 43.504989
TTD 6.747746
TWD 31.581499
TZS 2586.540272
UAH 43.111874
UGX 3551.266015
UYU 38.369223
UZS 12195.585756
VES 371.640565
VND 25982
VUV 119.556789
WST 2.72617
XAF 554.38764
XAG 0.011125
XAU 0.000198
XCD 2.70255
XCG 1.79537
XDR 0.68948
XOF 554.38764
XPF 100.793178
YER 238.374999
ZAR 15.97505
ZMK 9001.202765
ZMW 19.550207
ZWL 321.999592
Médicos australianos hallan por primera vez una lombriz parásita en el cerebro de una mujer
Médicos australianos hallan por primera vez una lombriz parásita en el cerebro de una mujer / Foto: © Universidad Nacional Australiana/AFP

Médicos australianos hallan por primera vez una lombriz parásita en el cerebro de una mujer

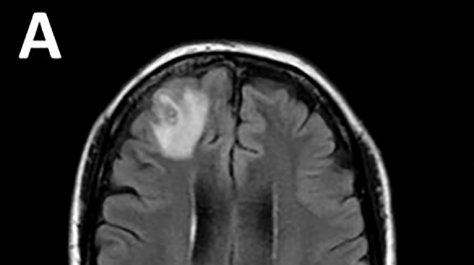
Una lombriz parásita usualmente encontrada en serpientes fue retirada "viva y coleando" del cerebro de una mujer, algo que no se había visto en los registros médicos, informaron el martes médicos australianos.

Tamaño del texto:

Desconcertados, los médicos realizaron una resonancia magnética a una mujer australiana de 64 años después de que comenzara a sufrir lapsos de memoria y notaron una "lesión atípica" en el frente de su cerebro.

Era una lombriz de ocho centímetros llamada Ophidascaris robertsi, que según investigadores son parásitos comunes en canguros y pitones diamantina pero no en humanos.

"Este es el primer caso humano de una Ophidascaris en el mundo", afirmó el experto en enfermedades infecciosas Sanjaya Senanayake.

"Hasta donde sabemos, es también la primera vez que aparece en el cerebro de una especie de mamífero, humano o no", agregó.

Los investigadores creen que la mujer se infectó después de buscar arbustos comestibles cerca de su casa que podrían haber estado contaminados con larvas parasitarias diseminadas en las heces de las serpientes.

"Nunca es fácil o deseable ser el primer paciente del mundo para nada", indicó Senanayake.

"No puedo enfatizar más nuestra admiración por esta mujer que ha mostrado paciencia y coraje en el proceso", agregó.

El caso fue publicado en el diario Emerging Infectious Diseases y Senanayake anticipó que podrían detectarse más casos en otros países.

G.Dominguez--TFWP