The Fort Worth Press - Un ver qui parasite les serpents découvert dans le cerveau d'une Australienne

USD -
AED 3.672498
AFN 64.496875
ALL 81.380528
AMD 369.184597
ANG 1.789884
AOA 917.999724
ARS 1395.381205
AUD 1.3837
AWG 1.8
AZN 1.697085
BAM 1.667512
BBD 2.020641
BDT 123.098172
BGN 1.668102
BHD 0.378875
BIF 2985.894118
BMD 1
BND 1.270084
BOB 6.932419
BRL 4.930102
BSD 1.003253
BTN 94.565375
BWP 13.432689
BYN 2.835207
BYR 19600
BZD 2.017742
CAD 1.365255
CDF 2315.999881
CHF 0.779175
CLF 0.022638
CLP 890.970154
CNY 6.80505
CNH 6.800575
COP 3738.9
CRC 460.209132
CUC 1
CUP 26.5
CVE 94.012576
CZK 20.69725
DJF 178.651968
DKK 6.36203
DOP 59.661791
DZD 132.335032
EGP 52.717504
ERN 15
ETB 156.643406
EUR 0.85136
FJD 2.18685
FKP 0.734821
GBP 0.736365
GEL 2.680059
GGP 0.734821
GHS 11.286699
GIP 0.734821
GMD 72.999748
GNF 8804.55958
GTQ 7.660794
GYD 209.901226
HKD 7.827605
HNL 26.670759
HRK 6.419303
HTG 131.399121
HUF 303.012017
IDR 17365.95
ILS 2.91051
IMP 0.734821
INR 94.41075
IQD 1314.280599
IRR 1312900.000132
ISK 122.430342
JEP 0.734821
JMD 158.020607
JOD 0.709014
JPY 156.800501
KES 129.150246
KGS 87.420497
KHR 4024.093407
KMF 418.999754
KPW 899.950939
KRW 1467.765006
KWD 0.307795
KYD 0.836058
KZT 464.61503
LAK 22016.463537
LBP 89533.723815
LKR 323.055346
LRD 184.10709
LSL 16.368643
LTL 2.95274
LVL 0.604889
LYD 6.345837
MAD 9.195197
MDL 17.26071
MGA 4165.565455
MKD 52.51478
MMK 2099.606786
MNT 3578.902576
MOP 8.092183
MRU 40.138456
MUR 46.820229
MVR 15.455001
MWK 1739.54559
MXN 17.262901
MYR 3.919502
MZN 63.905048
NAD 16.368783
NGN 1361.979903
NIO 36.917043
NOK 9.29545
NPR 151.292686
NZD 1.679839
OMR 0.384501
PAB 1.003253
PEN 3.475021
PGK 4.365952
PHP 60.544997
PKR 279.534225
PLN 3.600795
PYG 6140.362095
QAR 3.656974
RON 4.479694
RSD 99.945022
RUB 74.639547
RWF 1470.817685
SAR 3.780174
SBD 8.032258
SCR 14.098598
SDG 600.501353
SEK 9.25905
SGD 1.268503
SHP 0.746601
SLE 24.547226
SLL 20969.496166
SOS 573.372496
SRD 37.431033
STD 20697.981008
STN 20.887684
SVC 8.778354
SYP 110.543945
SZL 16.363923
THB 32.219503
TJS 9.375794
TMT 3.51
TND 2.910164
TOP 2.40776
TRY 45.363901
TTD 6.786684
TWD 31.373302
TZS 2608.394049
UAH 43.928641
UGX 3752.28603
UYU 40.11647
UZS 12157.202113
VES 496.20906
VND 26311
VUV 118.026144
WST 2.704092
XAF 559.236967
XAG 0.012394
XAU 0.000212
XCD 2.70255
XCG 1.808106
XDR 0.695511
XOF 559.267959
XPF 101.680898
YER 238.579251
ZAR 16.412899
ZMK 9001.200987
ZMW 19.111685
ZWL 321.999592
  • AEX

    -4.7900

    1014.65

    -0.47%

  • BEL20

    -4.9200

    5464.63

    -0.09%

  • PX1

    -68.0800

    8134.12

    -0.83%

  • ISEQ

    -112.6100

    12831.34

    -0.87%

  • OSEBX

    -5.3400

    1973.76

    -0.27%

  • PSI20

    -63.9400

    9070.37

    -0.7%

  • ENTEC

    -5.8300

    1416.23

    -0.41%

  • BIOTK

    -88.2800

    3998.61

    -2.16%

  • N150

    -11.7600

    4187.25

    -0.28%

Un ver qui parasite les serpents découvert dans le cerveau d'une Australienne
Un ver qui parasite les serpents découvert dans le cerveau d'une Australienne / Photo: © Université nationale australienne/AFP

Un ver qui parasite les serpents découvert dans le cerveau d'une Australienne

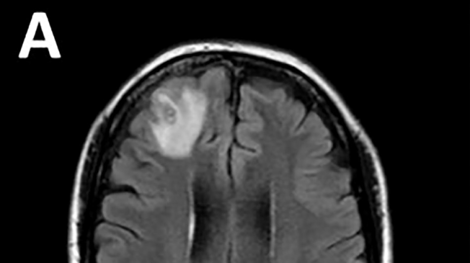
Un ver rond, qui parasite généralement les serpents, a été découvert pour la première fois sur un être humain, extrait "vivant et se tortillant" du cerveau d'une Australienne lors d'une intervention chirurgicale, ont annoncé mardi des médecins australiens.

Taille du texte:

Les médecins ont découvert une "lésion atypique", grâce à un examen IRM, dans la partie frontale du cerveau de l'Australienne, âgée de 64 ans, qui souffrait de pertes de mémoire.

Il s'agissait d'un Ophidascaris robertsi, un ver rond de huit centimètres qui, selon les chercheurs, est un parasite des kangourous et des pythons, en Australie. Il parasite des animaux dans d'autres régions du monde, mais il n'avait encore jamais été détecté sur un être humain.

"Il s'agit du tout premier cas humain d'Ophidascaris décrit dans le monde", a déclaré le docteur Sanjaya Senanayake, spécialiste des maladies infectieuses.

"À notre connaissance, c'est également le premier cas impliquant le cerveau d'une espèce de mammifère, humaine ou autre", a-t-il précisé.

Cette découverte a fait l'objet d'un article dans la revue "Emerging Infectious Diseases".

Les scientifiques pensent que l'Australienne a été parasitée par des plantes comestibles, probablement contaminées par des larves présentes dans des excréments de serpents.

Le parasite, dont la "structure en forme de fil" est apparue sur les scanners cérébraux, a ensuite été identifié grâce à des tests ADN.

"Il n'est jamais facile ni souhaitable d'être le premier à être malade de quoi que ce soit au monde", a ajouté le Dr Senanayake, "je ne saurais trop exprimer notre admiration pour cette femme, qui a fait preuve de patience et de courage tout au long de ce processus."

Selon le Dr Senanayake, il est "probable que d'autres cas soient identifiés à l'avenir".

C.M.Harper--TFWP