AEX
-0.2800
Faut-il revoir le dépistage organisé du cancer du sein? A l'heure actuelle, une mammographie biannuelle est proposée aux femmes entre 50 et 74 ans. Mais le risque n'est pas le même pour toutes, d'où des réflexions sur une stratégie plus personnalisée.
Le chanteur américain Bruce Springsteen, immense star du rock, a annoncé mercredi le report jusqu'en 2024 de ses concerts prévus cette année aux Etats-Unis afin de se "rétablir d'un ulcère" à l'estomac.
Regarder dans les yeux Lucy l'australopithèque, Trinil l'Homo erectus, ou Almatura le Néandertalien: dans "Album de famille", en librairie mercredi, le généticien italien Guido Barbujani retrace trois millions d'années d'évolution humaine à travers les visages de nos lointains ancêtres.
Des dizaines de milliers d'enfants au Soudan risquent de se trouver "au seuil de la mort" d'ici la fin de l'année, dans un pays ravagé par la guerre, les épidémies et la malnutrition, a alerté mardi l'ONU.
Une semaine après les inondations meurtrières en Libye, les rescapés de Derna veulent des réponses: pourquoi les demandes de réparations des barrages sont-elles restées lettres mortes et qui va les aider face au risque d'épidémies?
Scène sans précédent à New York pour le président ukrainien Volodymyr Zelensky: il était lundi soir dans un hôpital de la ville au chevet de soldats de son armée grièvement blessés mais qu'il a encouragés à revenir vite en Ukraine pour vaincre la Russie.
L'essentiel de son existence, Alexandre Fiodorov l'a passé dans les prisons russes. Il purgeait une énième peine quand une chance de liberté inespérée est apparue: partir combattre en Ukraine pour le groupe Wagner.
Une étude récente affirmant que la lignée humaine a échappé de peu à l'extinction il y a environ 900.000 ans, grâce à seulement 1.280 individus, est sérieusement remise en cause par de nombreux scientifiques.
Lorsque Michel Sadelain a commencé ses recherches pour programmer des cellules du système immunitaire à combattre le cancer, beaucoup de collègues sceptiques ont tenté de le décourager, jusqu'à sa propre mère, inquiète pour sa carrière.
C'est une première: chaque bébé français a droit cette rentrée à un médicament qui le protégera du principal virus à l'origine de la bronchiolite. Mais il est encore trop tôt pour affirmer que ce traitement marquera une révolution face à ce fléau hivernal.
Avec l'arrivée de l'automne, les infections au Covid-19 sont à nouveau en augmentation dans l'hémisphère nord, et de nouveaux variants sont apparus. Le point sur ce qu'il faut savoir pour les mois à venir.
Asep Muizudin Muhamad Darmini est allongé sur un lit d'hôpital, d'où il distingue par la fenêtre une épaisse brume grise enveloppant la capitale Jakarta, où des pics de pollution ont été enregistrés ces dernières semaines.
Le ministre de la Santé Aurélien Rousseau a affiché mardi sa volonté de relancer rapidement de nouvelles négociations tarifaires avec les médecins libéraux, toujours remontés contre la faiblesse de la revalorisation de 1,5 euro qui leur sera accordée au 1er novembre.
Les autorités sanitaires américaines ont autorisé lundi une version mise à jour des vaccins anti-Covid 19 de Pfizer et Moderna, mieux adaptée aux variants actuellement en circulation.
Une substance "encore non identifiée" est à l'origine du décès par overdose de trois personnes et de l'hospitalisation en réanimation de six autres patients, a informé lundi matin l'Agence régionale de santé (ARS) de La Réunion.
Le professeur Henri Joyeux est finalement bien interdit d'exercer la médecine pendant deux ans à la suite de déclarations fallacieuses contre certains vaccins, alors qu'une précédente radiation avait été annulée voici quelques années, selon un document transmis lundi par l'Ordre des médecins.
Remontée des cas, hospitalisations en hausse: l'épidémie de dengue poursuit sa progression aux Antilles, où les autorités sanitaires surveillent les profils à risque de formes graves, notamment les patients atteints de drépanocytose, une maladie très répandue dans les populations noires.
"Un oeuf égale une dose": l'usine normande de Sanofi, qui fournit le monde en vaccins contre la grippe, consomme chaque jour 650.000 oeufs de poules, utilisés comme support à la multiplication des virus dans le sérum antigrippal.
Des scientifiques chinois sont parvenus à développer des reins contenant des cellules humaines dans des embryons de porcs, une première mondiale qui pose des questions éthiques et pourrait offrir de nouvelles voies face à la pénurie de dons d'organes.
La distribution de l'ancienne formule du Levothyrox sera prolongée en France en 2024 et 2025, ont indiqué mardi à l'AFP le laboratoire allemand Merck qui fabrique ce traitement conçu pour les problèmes de thyroïde et le ministère de la Santé.
Des chercheurs lillois ont annoncé mardi avoir mis en ligne un outil capable de prédire la perte de poids à cinq ans de personnes souffrant d'obésité, afin d'éclairer leur choix avant d'envisager une chirurgie bariatrique, et d'améliorer leur suivi médical.
Les hôpitaux publics décèlent de "légers signes positifs" en matière de recrutement, mais ont besoin d'une poursuite des efforts financiers en leur faveur, a indiqué mardi la Fédération hospitalière de France (FHF), qui regroupe hôpitaux et Ehpad publics.
Le chancelier allemand Olaf Scholz, qui s'est blessé au visage lors d'un jogging, a posté lundi une photo de lui portant un cache-oeil, déclenchant sur les réseaux sociaux un flot de vœux de rétablissement et des commentaires amusés sur son allure de pirate.
Garde forestier dans le Sud de la Belgique, Thierry Petit est de plus en plus sollicité pour éliminer des ratons laveurs. Ce mammifère, classé comme espèce exotique envahissante en Europe, prolifère en Wallonie au risque de menacer la biodiversité et de transmettre des maladies.
Le nombre de blessés dans les rangs du XV de France avant le Mondial-2023 (8 septembre - 28 octobre) peut être considéré comme de la malchance, mais se blesser pour un joueur de rugby est un passage obligé plus qu'une fatalité, selon un médecin du sport.
Le nouveau variant du Covid-19, BA.2.86, surveillé attentivement par l'OMS, a été détecté pour la première fois en France, a indiqué jeudi à l'AFP Santé Publique France, confirmant une information du Parisien.
Le Guatemala a déclaré jeudi l'état d'urgence sanitaire dans le pays en raison d'une épidémie de dengue qui a fait au moins 22 morts depuis le début de l'année et infecté plus de 12.000 personnes, a annoncé le gouvernement.
Un nouveau coup de pouce financier pour trouver une parade à la crise de l'hôpital: le gouvernement a annoncé jeudi un total de plus d'un milliard d'euros de revalorisations pour les soignants, en faveur notamment du travail de nuit et le dimanche.
La Première ministre Elisabeth Borne a annoncé jeudi une série de revalorisations salariales au bénéfice des soignants à l'hôpital, en particulier pour le travail de nuit et le dimanche, d'un coût total de plus d'un milliard d'euros.
Joe Biden, qui mène une campagne présidentielle lourdement axée sur le pouvoir d'achat, a lancé mardi une offensive pour faire baisser le prix de certains médicaments, une initiative que les grands laboratoires entendent contester en justice.
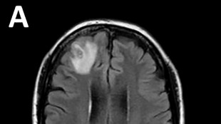
Un ver rond, qui parasite généralement les serpents, a été découvert pour la première fois sur un être humain, extrait "vivant et se tortillant" du cerveau d'une Australienne lors d'une intervention chirurgicale, ont annoncé mardi des médecins australiens.
L'ancienne ministre de la Santé Agnès Buzyn, en poste au tout début de la pandémie de Covid-19 en 2020, va publier le journal qu'elle a tenu à l'époque, ont annoncé lundi les éditions Flammarion.